ホワイトニング

Whitening

whit.jpg tio10.jpg whi.jpg

ホームホワイトニング

マウスピースを使い、歯を薬品で浸して美白くするのがホワイトニングです。
 
美白剤の主成分は過酸化水素で、消毒薬のオキシドールとして知られています。
 
欧米では、すでに100万人以上の方がこの技術で歯を美白しています。
喫煙やコーヒー等の飲用による変色、老化、遺伝による黄ばみにも優れた効果があります。
ご自宅にて、お好きな時間に行っていただくことができます。


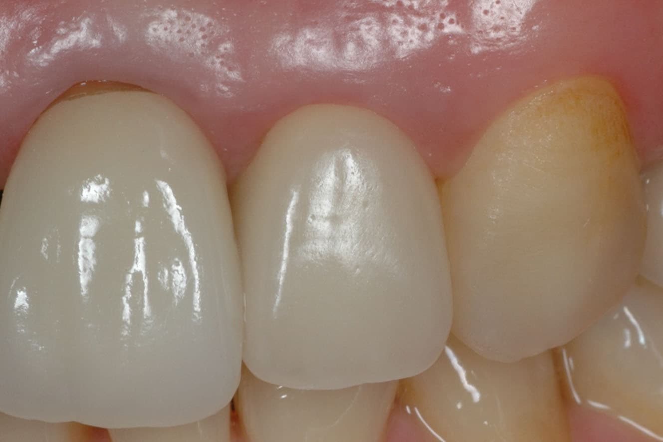
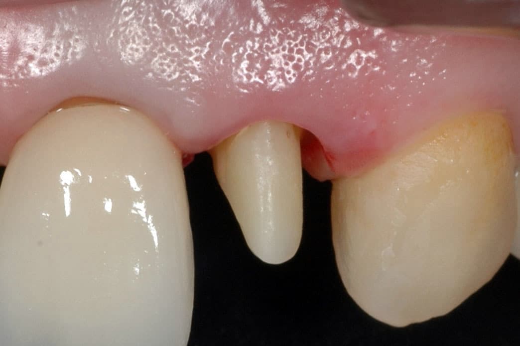
オールセラミック等

Ceramics

cera_(2).jpg c4.jpg c5.jpg em_(2).jpg

オールセラミック ※保険外診療

内外共にセラミック素材で製作したもので、天然歯に近い自然な感じで見た目もよいです。
 
オールセラミックスの特徴
・歯に汚れ(プラーク)が付きにくく、変色もしません。
・歯肉が黒くならず、そして歯ぐきが下がっても黒いラインが出ません。
・金属アレルギーの心配もありません。

cru.jpg cru1.jpg in.jpg img20200429231110694790.jpg

ハイブリッドセラミック ※保険外診療

セラミック(陶器)の粒子と、レジン(プラスチック)を混ぜ合わせて作ったものです。
 
セラミックよりもやわらかく、対合歯にも優しいというメリットがありますが、
色調は多少劣り、唾液を吸収し、経年的に変色します。
・色が白いので見た目が良い。
・硬すぎず、適度にすり減るので周囲の歯を傷めにくい。
・金属を使用していないので、金属アレルギーが起こらない。
・割れても修理しやすい。

mb4_20201017220309431.jpg mb1.jpg mb.jpg

メタルボンド ※保険外診療

中身は金属で外から見える部分にのみセラミック等を貼り付けた被せ物、差し歯です。
 
見た目がよく、セラミックの場合は変色せず、強度も強いので非常によく使用されます。
・色が歯に似ているので見た目が良い。
・中身が金属なので強度が強く、ほとんどの部位に使用できる。
・中の金属に貴金属を使用することで、金属が溶け出すことによる歯ぐきの変色、金属アレルギーなどが起こる可能性を低くすることができる。